We are now accepting the Canadian Dental Care Plan Learn More

Every Patient Has A Story To Tell

If you’d like to share some kind words and smiles, please ask our front desk staff for a comment card at your next appointment. We’d love to hear about your experience!

Patient testimonials

Every Patient Has A Story To Tell

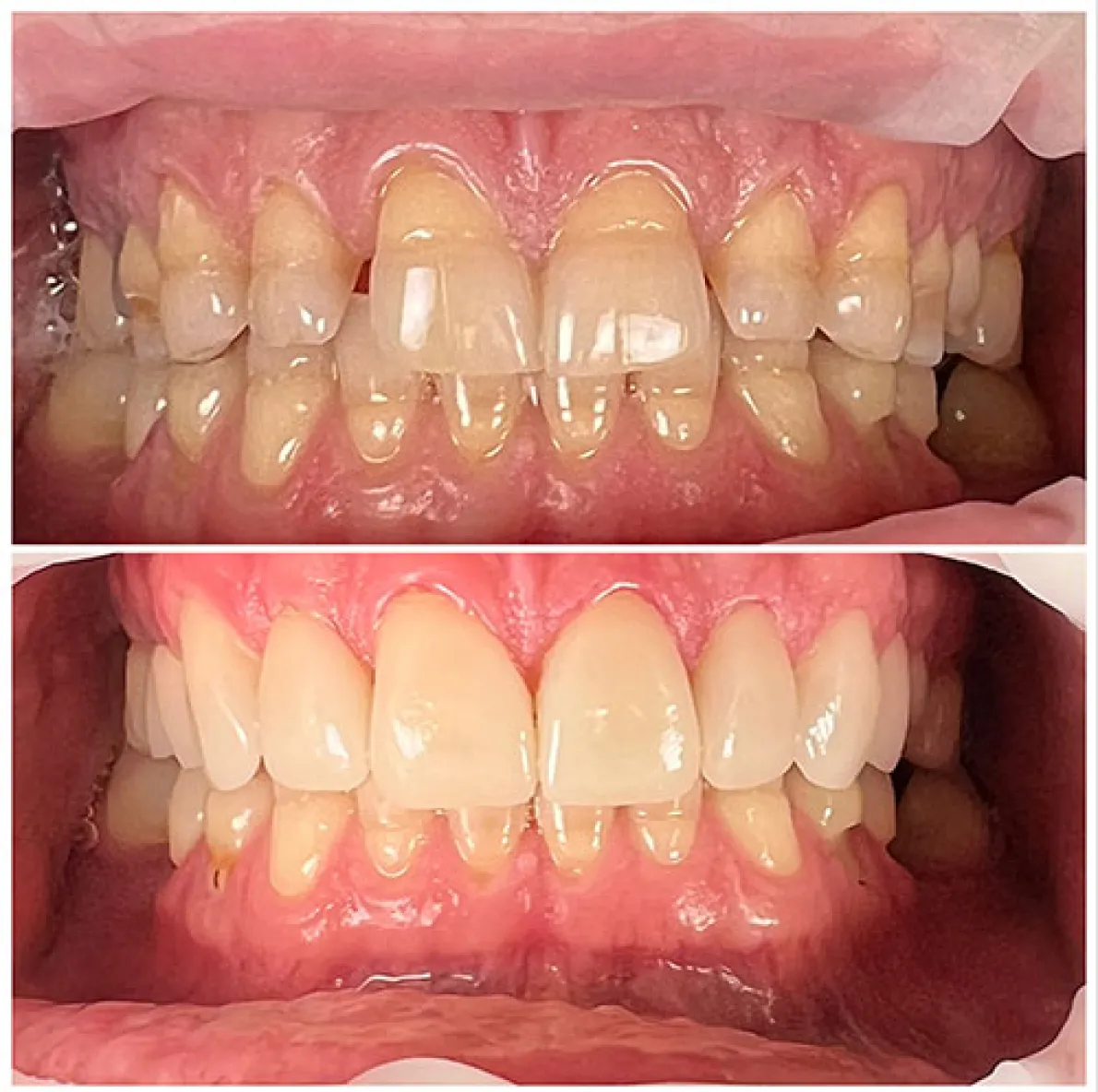
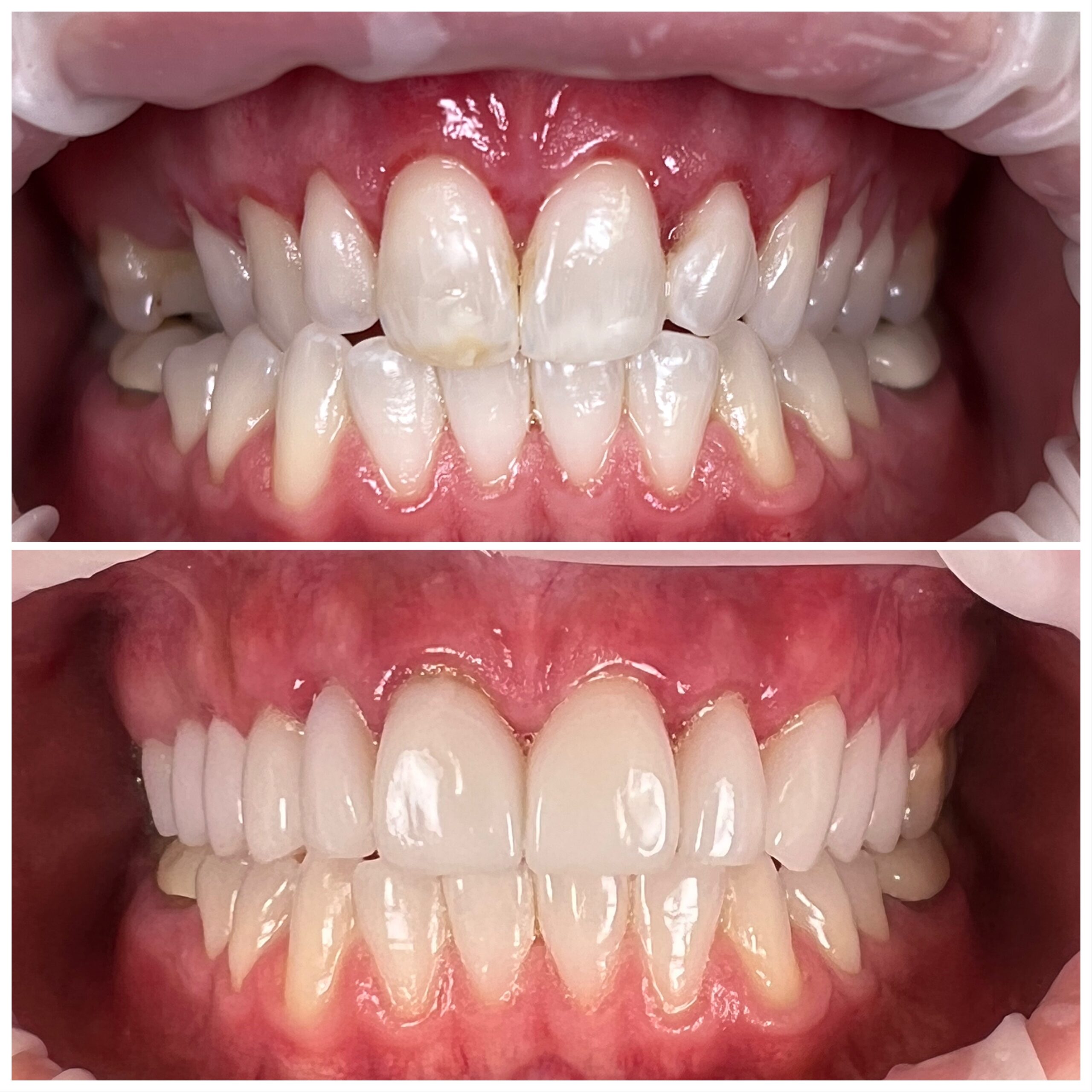
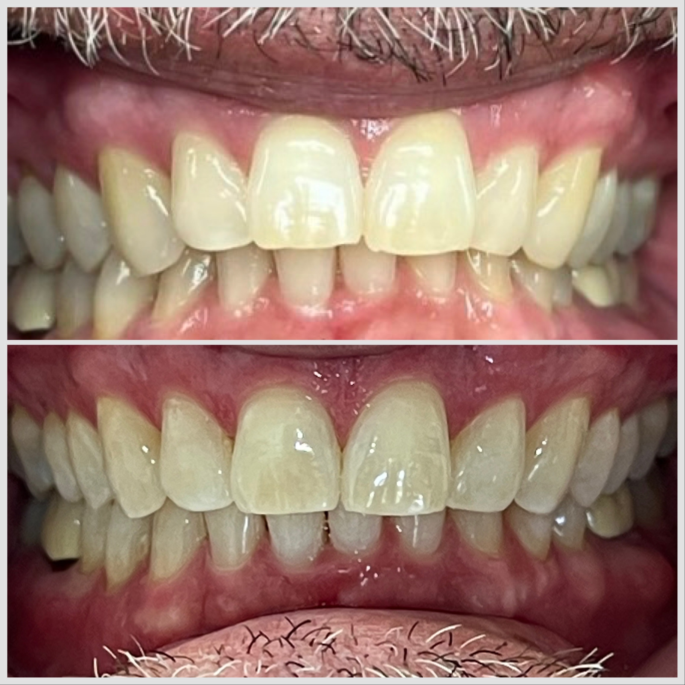
Smile Gallery

Here are a few of our patients’ before and after photos. Actual results may vary.